A 17 anni, una paziente si è rivolta al nostro studio con l’obiettivo di migliorare il proprio sorriso e la funzionalità masticatoria. Il caso clinico presentava una combinazione di problematiche comuni e complesse: agenesia dei settimi inferiori, incisivi superiori di piccole dimensioni e un morso profondo. Questa situazione non solo comprometteva l’estetica del sorriso, ma poteva causare problemi funzionali a lungo termine. La soluzione scelta per questa giovane paziente è stata un approccio combinato di ortodonzia moderna con allineatori trasparenti e odontoiatria estetica conservativa.
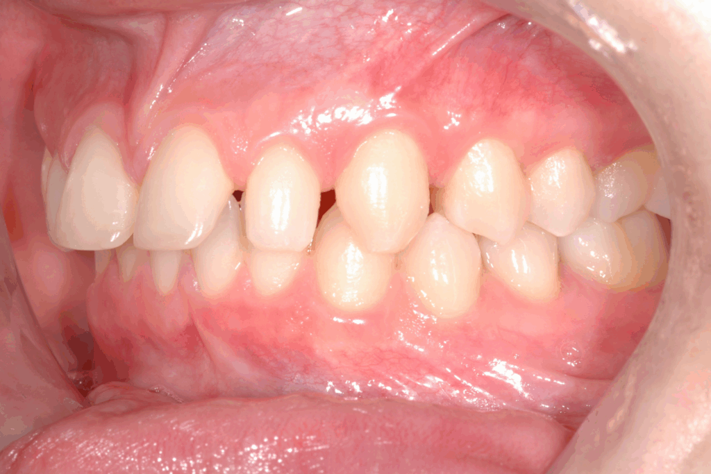
Check-up iniziale



La prima fase del trattamento è stata un’analisi approfondita. Durante il check-up, abbiamo confermato la diagnosi di agenesia dei secondi molari permanenti inferiori, una condizione congenita che lascia spazi vuoti nell’arcata. Abbiamo inoltre rilevato che gli incisivi superiori erano di dimensioni ridotte rispetto al resto dei denti e che la paziente presentava un morso profondo, con gli incisivi superiori che coprivano eccessivamente quelli inferiori. Questa valutazione completa ci ha permesso di creare un piano di trattamento personalizzato e preciso, tenendo conto di tutte le problematiche presenti.
Trattamento


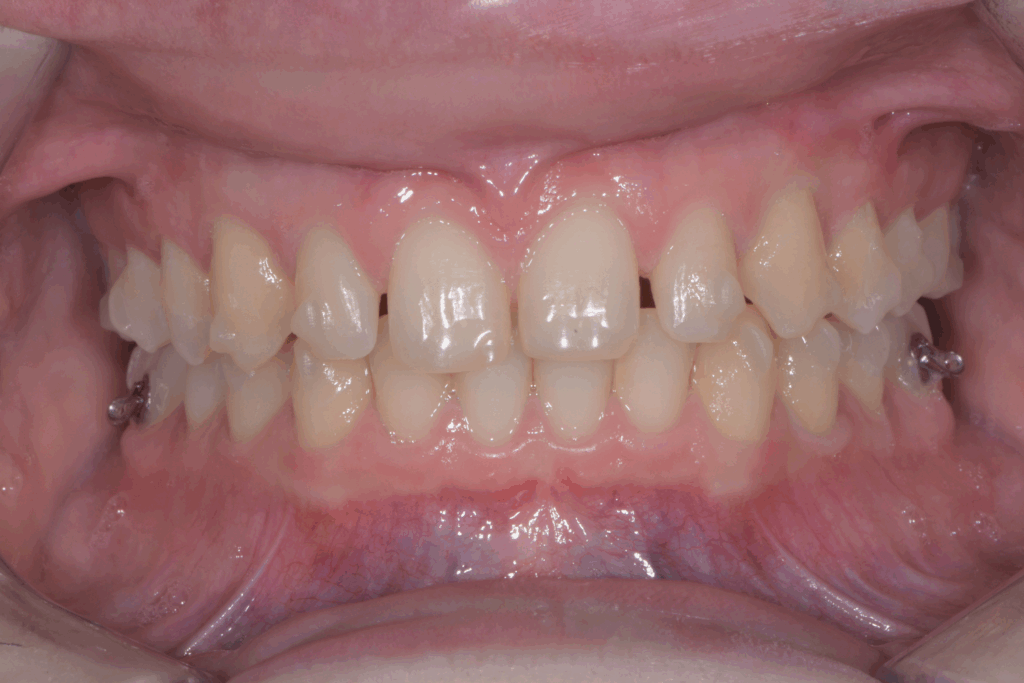
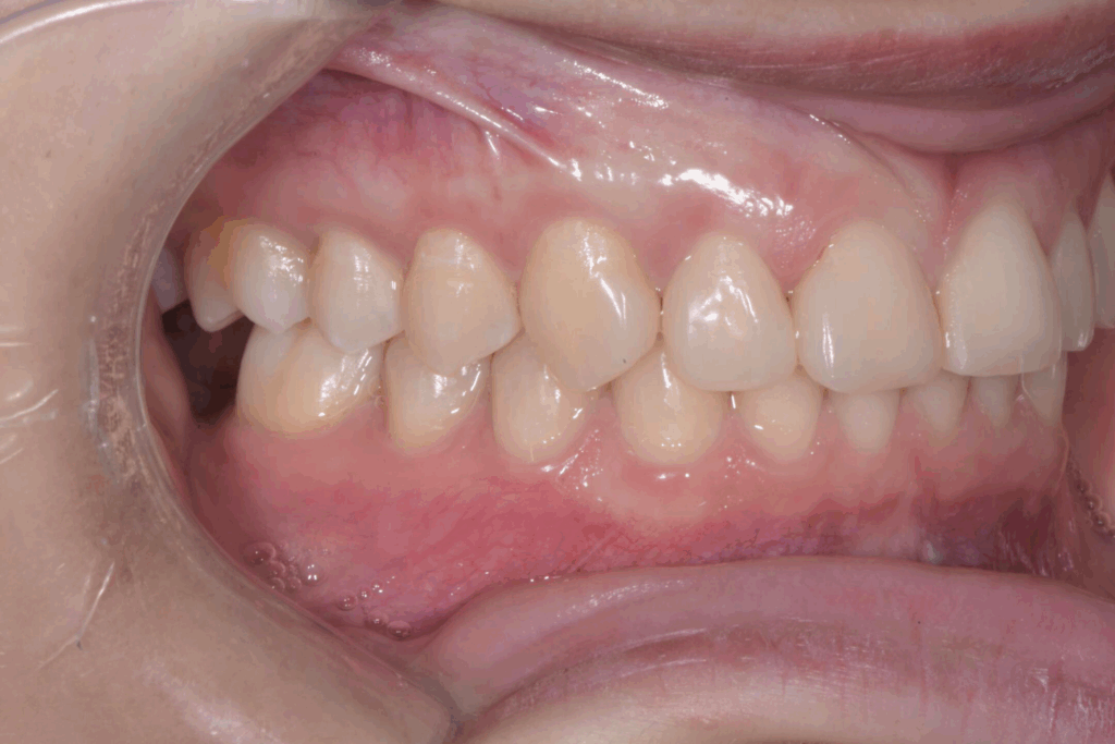
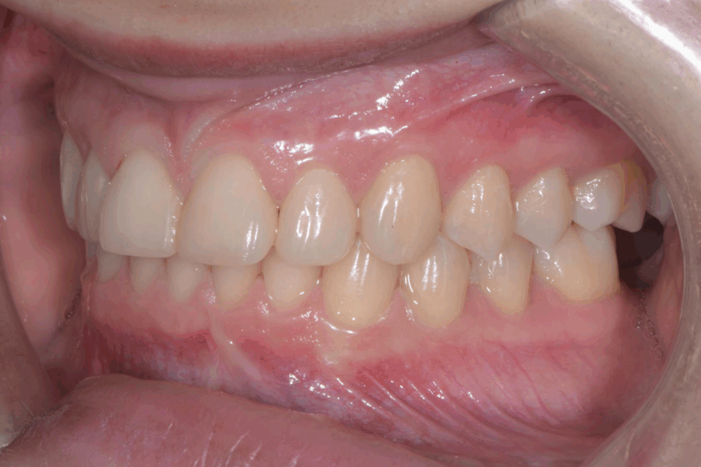
Fase 1: durante l’utilizzo degli allineatori trasparenti






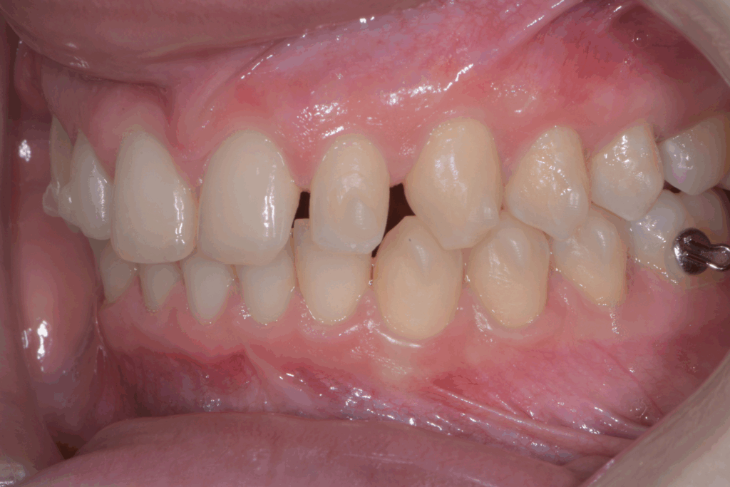
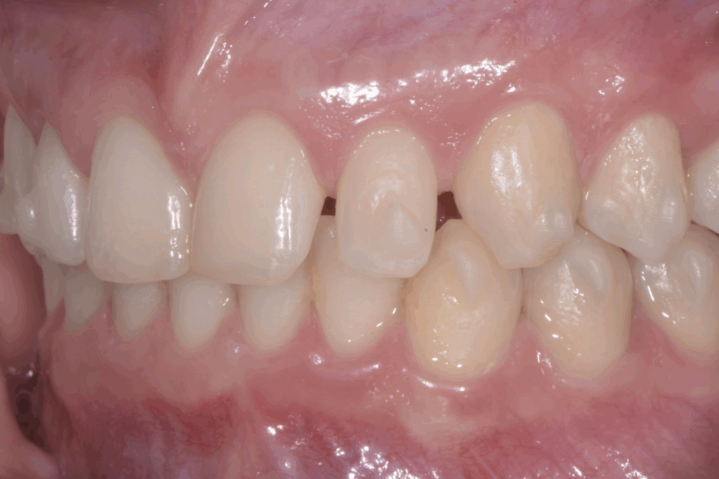
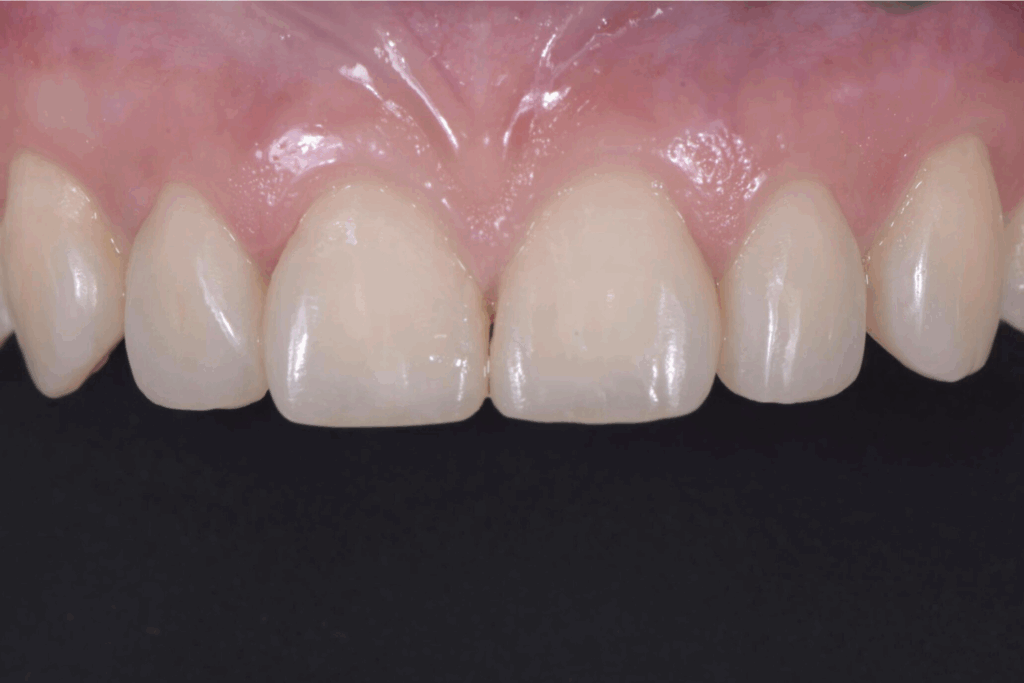
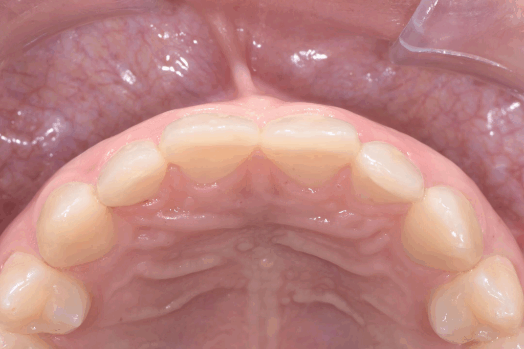
Fase 2: prima della ricostruzione in composito
Per affrontare le sfide del caso, abbiamo optato per l’utilizzo di allineatori trasparenti. Questo tipo di trattamento è stato scelto per la sua efficacia nel muovere i denti in modo preciso e graduale, ma anche per la sua discrezione, fondamentale per una paziente in età scolare. Il piano di trattamento ha previsto una serie di allineatori personalizzati, che la paziente doveva sostituire con il passare delle settimane.
Gli obiettivi del trattamento con allineatori erano tre:
- Chiusura degli spazi: gli allineatori sono stati programmati per spostare i denti posteriori e chiudere gli spazi vuoti lasciati dall’agenesia dei settimi, evitando la necessità di impianti o ponti.
- Correzione della verticalità: il trattamento ha lavorato per estrusione e intrusione selettiva di alcuni denti, al fine di correggere il morso profondo e ristabilire una corretta occlusione.
- Preparazione estetica: una volta raggiunta la corretta posizione dei denti, il trattamento ha preparato lo spazio e l’allineamento ideali per la fase successiva.
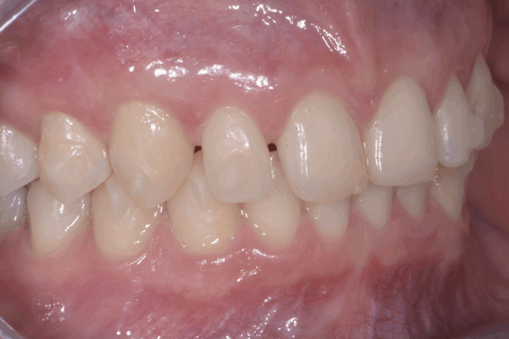
Una volta completata la fase ortodontica, siamo passati alla finalizzazione estetica degli incisivi superiori. Utilizzando la tecnica della ricostruzione in composito, abbiamo aumentato le dimensioni dei denti, migliorandone la forma e l’armonia con il resto del sorriso. Il composito, un materiale estetico e versatile, ci ha permesso di ottenere un risultato naturale e duraturo senza sacrificare la struttura dentale originale.
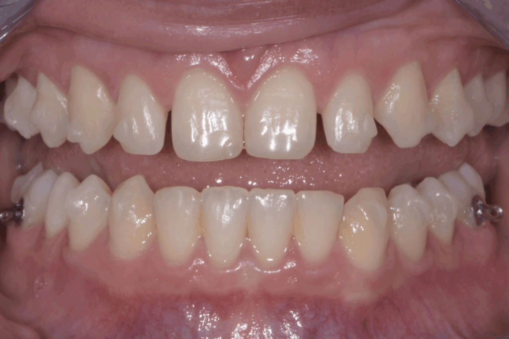
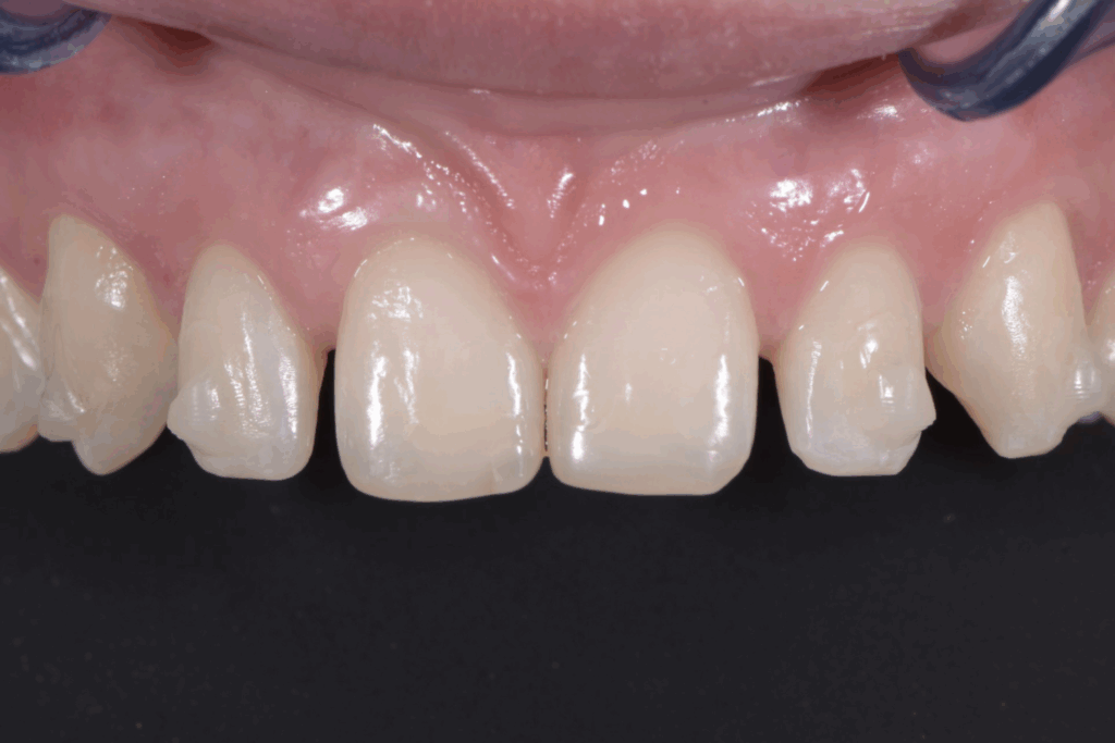
Risultato finale











